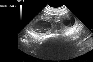
Eine turbulente Woche voller Sorgen liegt hinter uns: Annie hat leider eine Pyometra (Gebärmutterentzündung) entwickelt und musste am Dienstag Notkastriert
Morgen kannst du gestern nicht mehr nachholen! Und später kommt früher als du denkst!
“Das schönste Geschenk ist gemeinsame Zeit. Denn
Unsere Annie ist seit 18.12. läufig und die Vorfreude im rosa Schlössl steigt. Wie üblich läuft bei Annie der Gemütlichkeitsmodus.
Durch die Pandemie hatten wir längere Zeit nicht die Möglichkeit ein Wurftreffen zu veranstalten…aber am Sonntag, den 14.08.2022, war es
Wo ist nur die Zeit schon wieder hin? Letzte Woche wurde unser F-Wurf geimpft und gechippt und heute stand bereits
Bei diesen Temperaturen haben wir den Babies heute das Plantschbecken aufgestellt. Nachdem sie nicht so Recht wussten, was sie mit
Heute meinte es das Wetter endlich mal gut mit uns und wir konnten mit den Babies und Mama Heidi einen
Immer wieder bin ich überrascht, wie schnell die Zeit vergeht. Heute feiern die Babies 4-Wochen-Geburtstag. Wir haben also jetzt die
Heute bedarf es nicht vieler Worte…wir präsentieren neue Einzelporträts unseres F-Wurfes – pünktlich (ok…mit 1 Tag Verspätung) zum 3-Wochen-Geburtstag:
Unsere 9 Zwerge wachsen und gedeihen prächtigst. Die ersten wackeligen Gehversuche finden schon statt und auch die Stimme wird fleißig
